Chest X-ray

What is a Chest X-ray?

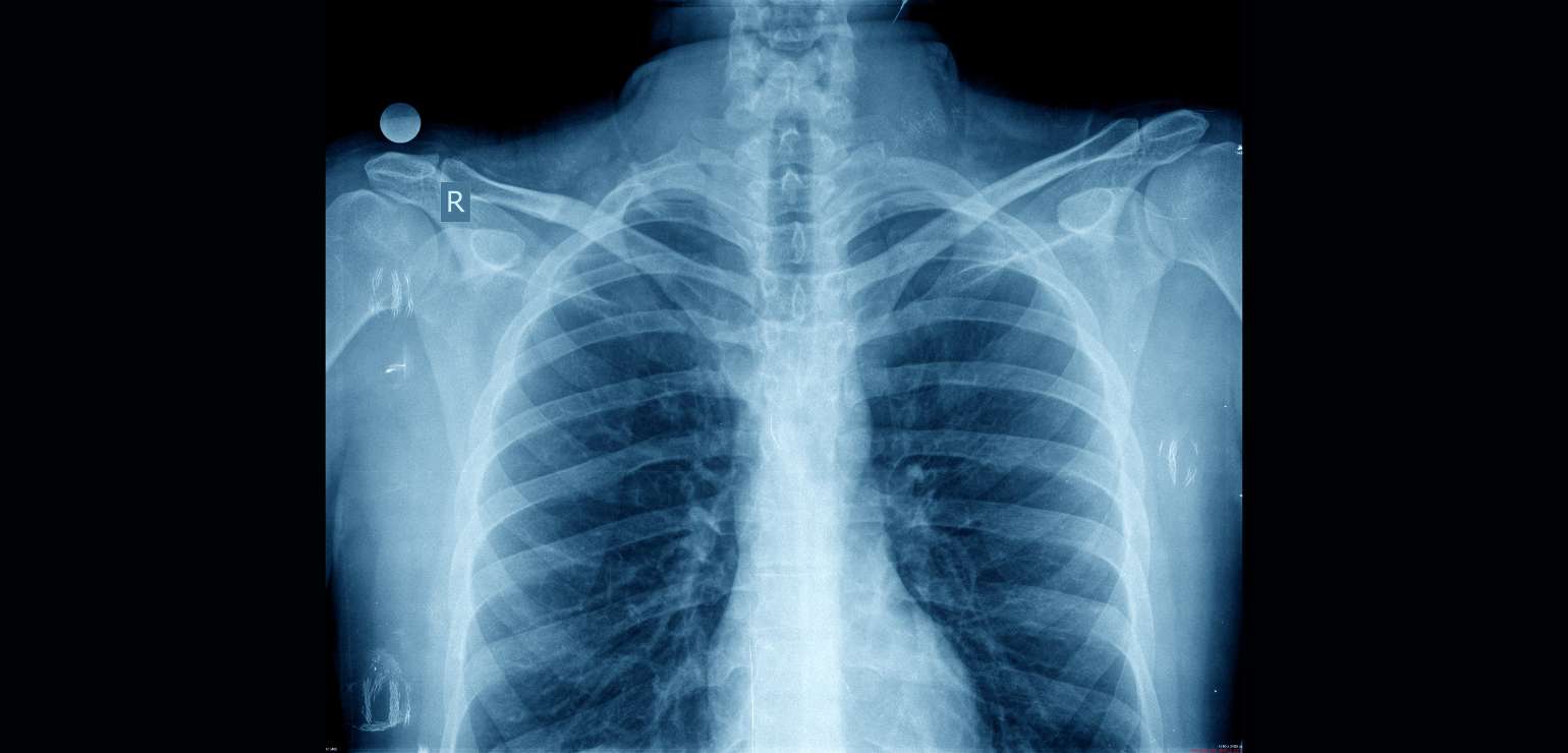
Chest x-ray is performed to get images of the chest area including lungs, heart and rib area. This determines the problems in the chest area at a very basic level making it the fastest way of diagnosing the issueHence it is mainly used for emergency diagnosis.

Why have I been asked to get a chest x-ray done?

Chest  x-ray is performed to:

  • Determine any problems in breathing like shortness of breath.

  • Check  for any unexplained coughs, chest pain or injury.

  • Determine any lung cancer or blockage in lungs.

  • Determine heart related problems.

  • Assess any disease like pneumonia or water filled in lungs.

How can I prepare for the x-ray?

  • Women should tell their doctors if there is any chance they may be pregnant because x-ray radiation can harm the baby. If in doubt, make sure to take a pregnancy test before performing the scan. If positive, consult your doctor.

  • Wear comfortable clothing and avoid jewellery or any other metal on the body.

How is the chest x-ray done?

The technologist will guide you into different positions for the chest X-ray. It’s important that you follow the instructions carefully. If you have pain or discomfort holding the position, inform the technologist.

Names of Previous reports/scans required?

N/A

How long is the procedure for?

  • Total time –1hr.

  • Test time- 10-15 mins.

Can I walk in for a chest x-ray without prior appointment?

  • Yes  (Confirm by calling on 8869906990 before arriving at the centre)

History of allergy?

N/A

For appointment call 8869906990 or write at contact@medcarediagnostics.com atleast 1 or 2 days prior to the required date of appointment.

(if another scheduled patient has cancelled we may consider taking in walk-in patients. Do check in with our reception and our billing executives at our centre.)

Contact Us & Just Ask Your Answers

Please feel welcome to contact our friendly reception staff with any general or medical enquiry call us.

Contact No.

Email

For Appointment

Important Note

We may have to reschedule or cancel appointments at times because of reasons beyond our control – short-supply or no supply of the isotope used for the scan from an external source, machine breakdowns, etc.

As we have no control over this situation, Medcare Diagnostics would not be held liable for any harm or loss arising out of such cancellations.

Contact Us & Just Ask Your Answers

Please feel welcome to contact our friendly reception staff with any general or medical enquiry call us.

Contact No.

Email

For Appointment